Community
전후화보사진바이브에서 수술한 고객분들의 생생한 전후화보사진을 만나보세요







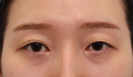
바이브성형외과 유영문 원장님께
눈재수술 , 코재수술 6개월 된 후기입니당
저는 6개월전에 절개로 눈을 다시하고
코는 세번째수술이었어요
매부리있던건 깎고 귀연골, 기증늑,
실리콘으로 다시 코를 했는데요
붓기도 거의 다 빠지고 자리가 잡히니까
쌍커풀라인 흉도 잘 안보여요 !
정면에서 봤을 때 코라인도 슬림하면서
오똑해진게 눈에 보여서 요즘 셀카도
옆모습으로만 찍고 있어요
딱 제가 원하던 화려한 코 그자체라
앞으로도 코끝 안처지고 모양 안변하게
잘 유지 되면 좋겠어요 !
불편한 거 없이 잘 지내고 있고
쌍커풀도 풀렸을 때 , 매부리나
코끝 처져있을 때 보다 자신감도 많이 생겨서
거울보는 것도 즐겁고 사진찍는 것도 재밌어요
유영문원장님 감사합니다
눈코 너무 잘 해주셨어요 ㅎㅎ 최공
NAME : 손예은
2025.09.19
자려한라인으로 수술잘해주셨어요
NAME : 한수민
2025.09.15
눈,코재,이마거상 11개월차
NAME : 김세원
2025.09.09
복코성형 4개월차입니다!
NAME : 이유나
2025.09.03
매부리코성형 성공 ㅎ.ㅎ
NAME : 성다경
2025.08.26
코수술받고 자신감이 높아졌어요
NAME : 공윤정
2025.08.19
점점 자리잡고 있어 만족하며 지내요:)
NAME : 박선현
2025.08.13
눈, 코, 지방이식 만족후기~~
NAME : 이수정
2025.08.12
원하는 모양대로 코수술해주셨어요ㅎ.ㅎ
NAME : 이호윤
2025.08.06
바이브에서 수술받고 젊어졌어요~~~
NAME : 김영해
2025.07.29
유영문원장님이 예쁜 코 만들어 주셨어용><
NAME : 황현정
2025.07.23
저의 코버지 유원장님 감삼다~
NAME : 신슬빈
2025.07.21