Community
전후화보사진바이브에서 수술한 고객분들의 생생한 전후화보사진을 만나보세요




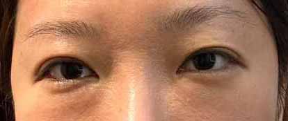
10년전 쯤에 했던 쌍꺼풀이 늘어나고
이마로 뜨게 되면서 두통도 심해지고 힘들었어요.
그래서 이번엔 눈매교정 절개로
쌍꺼풀 재수술을 받게 됐어요.
여러 성형외과에서 상담 받았고
그중에 바이브 유영문원장님께서
제일 믿음직스러우셔서 결정하게 됐어요.
수술하고 지금은 3개월째인데
붓기 정말 많이 빠지고 정말 자연스럽게 됐고
라인도 너무 이쁘게 되서 만족해요.
주변에서 눈 다시 하길 너무 잘했다고 하더라구요 ㅎㅎ
전보다 눈도 잘떠지고 눈이 훨씬 이뻐보여요.
만족합니당. 눈재수술 여기 믿고 가세요ㅎㅎ
눈코 너무 잘 해주셨어요 ㅎㅎ 최공
NAME : 손예은
2025.09.19
자려한라인으로 수술잘해주셨어요
NAME : 한수민
2025.09.15
눈,코재,이마거상 11개월차
NAME : 김세원
2025.09.09
복코성형 4개월차입니다!
NAME : 이유나
2025.09.03
매부리코성형 성공 ㅎ.ㅎ
NAME : 성다경
2025.08.26
코수술받고 자신감이 높아졌어요
NAME : 공윤정
2025.08.19
점점 자리잡고 있어 만족하며 지내요:)
NAME : 박선현
2025.08.13
눈, 코, 지방이식 만족후기~~
NAME : 이수정
2025.08.12
원하는 모양대로 코수술해주셨어요ㅎ.ㅎ
NAME : 이호윤
2025.08.06
바이브에서 수술받고 젊어졌어요~~~
NAME : 김영해
2025.07.29
유영문원장님이 예쁜 코 만들어 주셨어용><
NAME : 황현정
2025.07.23
저의 코버지 유원장님 감삼다~
NAME : 신슬빈
2025.07.21